미소그린치과

미소그린치과

일반치료
진료안내 일반치료

일반치료

미소그린치과를 이용해주셔서 감사합니다.

충치치료


충치란 옛날에는 벌레가 치아를 파먹는다고 해서 "충치"라고 불렀지만 최근에는 충치란 입안에 있는 세균(충치균)에 의해 생산된 노폐물(산)에 의해 치아가 부식되어 가는 것을 말합니다. 그래서 벌레에 의해 부식되었다 해거 치아우식" 이라고도 합니다.


충치균

입안에는 셀수 없을 정도로 많은 세균이 있는 것으로 알려져 있는 가운데 충치균이란 충치를 일으키는 세균을 말하는 것입니다. 이러한 충치균은 치마의 표면에 붙어서 입안의 당분(설탕 등)을 먹고 아주 빠른 속도로 자라납니다.

충치의 진행 단계
-1단계: 사기질의 표면에만 조금 생김
-2단계: 사기질에 넓게 퍼졌으나, 아직 상아질에는 침투하지 않은 상태
-3단계: 사기질을 뚫고 상아질에 침투 시장
-4단계: 상아질에 넓게 퍼졌으나, 아직 신경에는 침투하지 않은 상태
-5단계: 상아질에 넓게 퍼져 신경에 침투 시잘
-6단계: 신경에 침투하며 신경에 염증 생김
7단계: 신경에 생긴 염증이 치마 뿌리 끝의 잇몸뼈까지 침투
-8단계: 미뿌리 끝에 생긴 염증이 잇몸을 뚫고 밖으로 고름이 나옴



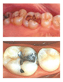
레진 치료

보통 치마색의 재료로 때웠다고 말하는 재료입니다. 예전에는 치마 색깔의 단순한 합성수지였으나, 재료가 발달함 따라 여러 가지 물질을 더해서 요즘은 종류별로 아주 튼튼하게 잘 만들어 졌습니다. 접착제를 통해서 치마에 붙이며, 앞니나 충치부분이 작은 어금니에 많이 쓰입니다. 충치 치료와 예방치료를 같이 할수 있고 유지 보수가 매우 쉬우며 치마 색깔이무로 보기 좋으나 시간이 오래 지나면 변할 수도 있습니다.


아말감 치료

아말감은 은과 주석의 합금에 수은을 섞어서 굳게 하는 재료로 전통적으로 가장 많이 쓰인 재료입니다. 보통 은으로 때웠다고 할 때나, 검은색 재료로 때웠다고 할 때는 이것을 말하는 것입니다. 의료보험 혜택이 있어 비용이 저렴하고 진료 방법이 간단하며 너무 크지 않은 대부분의 충치 치료를 할때 많이 사용했으나 보기에 좋지 못하고 수은의 사용 때문에 찬반의 논란이 많습니다.

금 인레이
보통 금으로 때운다고 표현하는 치료입니다. 금은 치마를 때우는데, 전통적으로 많이 사용되었으며, 부작용이 가장 적은 좋은 재료입니다. 비교적 가격이 비싸지만 화학적 물리적으로 매우 안정하며 강도가 이와 비슷해서 이에 무리가 가지 않습니다.

치마목부위 마모증
치마와 잇몸이 연결되는 부분에서 치마가 마모가 되는 증상을 말합니다. 잘못된 잇솔질에 의해 치마의 바깥면이 마모되는 경우도 있고, 잘못된 씹는 힘에 의해 스트레스를 많이 받아 치마의 목 부위기 부스러져 나가는 것을 말합니다. 신경과 가까워서 조금만 파인 경우도 매우 시린 경우가 많이 있으나 레진으로 간단하게 치료가능합니다.

신경 치료
충치나 다른 손상으로 인해 잇몸속의 신경혈관조직이 노출되거나 염증이 생겼을 때 신경을 제거하고 생체적합한 재료로 채워 넣는 것을 말합니다.

-신경치료의 순서 -
1) 신경에 염증이 생긴 치마의 충치를 제거하고 뿌리쪽 신경을 노출시켜 염증부위 신경을 먼저 제거한다.
2) 신경을 깨끗이 제거하기 위해 정확한 길이를 측정한다.(특정기구 사용하거나 방사선사진 촬영 가능)
3) 신경의 정확한 제거 및 마무리를 위한 치마 뿌리 내부의 형성
4) 치마 뿌리내부를 적절한 재료로 채운다
5) 치마 머리부분을 레진 등으로 때운다
6)치마 머리부분을 씌울 수 있도록 형성한다.

신경 치료한 치마는 치마도 많이 깎아 내고, 또한 영양 공급을 못받아서, 치마가 많이 약하기 때문에 치마를 씌워주는 게 좋습니다.
신경 치료한 뒤 씌우지 않으면, 평균 3개월 정도가 지나면 치마 뿌리에 다시 세균이 들어가서 염증이 생길 확률이 높다고 합니다.
대부분의 경우에 곧 깨지게 되어 애써 신경치료한 걸 마깝게 하기도 한답니다.


잇몸질환

입안의 세균이 치아와 잇몸사이에 침투하면서 생기는 염증을 말합니다. 이러한 세균은 입안의 찌꺼기들과 덩어리를 이룹니다. 이것을 플라그라고 하며, 이러한 플라그는 입안의 무기물과 결합해서 치석이 됩니다. 치석은 플라그가 더 잘 붙게 하며, 잇몸속으로 세균이 더 깊숙이 침투하게 합니다

잇몸 질환 자가진단법
  • 1) 칫솔질을 할 때나 사과를 베어 불 때 잇몸에서 피가 난다.
  • 2) 잇몸이 연분홍색에서 검붉은 색으로 변한다.
  • 3) 미와 잇몸 사이에 갈색, 혹은 검은색의 작은 돌 같은 물질이 붙어 있다.
  • 4) 입에서 고약한 냄새가 난다.
  • 5) 잇몸이 들떠서 미가 약간씩 흔들린다.
  • 6) 잇몸에서 고름이 난 적이 있다.
  • 7) 이 사이가 벌어지거나 미가 옆으로 틀어진다.
예방법

잇몸 질환은 증상이 크게 드러나지 않으면서 서서히 진행되며 플라그와 치석이 쌓며 염증이 시작되므로 치료를 받았다고 안심할 수 없다. 언제든지 다시 재발할 수 있기 때문이다. 재발 방지를 위해서는 플라그가 쌓이지 않도록 평소에 칫솔질을 잘 해야 하며 치실과 치간 칫솔도 적극적으로 활용해야 한다. 또 6개월에 한 번 정도는 정기 검진을 받고 스케일링을 한다. 잇몸질환을 예방하는 가장 좋은 방법도 플라그와 치석을 제거하는 것이다. 또 지나친 음주와 흡연을 피하고, 야채나 과일 등 섬유질이 많은 음식을 먹는 것이 좋다.

치석의 생성

치마와 잇몸 사이에는 치은열구라는 좁고 얕게 페인 부위가 있습니다. 치은열구에는 프라그가 끼기 쉬우며 이를 그대로 방치하면 칼슘과 인의 성분 등에 의해 석회화가 이루어져 치석이 됩니다.

스케일링

치마의 주변에 생긴 치석이나 외부의 착색 등을 제거하는 것입니다. 가장 기본적인 잇몸치료이면서 또한 아주 심한 잇몸질환 치료의 시작단계의 치료라고 할수 있습니다.

잇몸속 염증제거

어떤 특별한 치료를 말한다기보다는 약간 심한 잇몸염증에서 염증조직을 제거하는 것을 말합니다. 잇몸속 염증이나 치석 등은 스케일링으로는 제거가 힘들기 때문에 잇몸에 마취를 한 뒤 기구를 잇몸 깊숙이 넣어서 염증조직과 치석을 제거하는 것을 말합니다.

잇몸 판막수술

잇몸을 치마와 치조골에서 들어내어 완전히 젖힌 뒤에 치마와 치조골 주위의 치석과 염증 등을 제거하는 것을 말합니다.

잇몸 자르기

염증으로 잇몸이 많이 자라난 경우나 잇몸이 붓거나 섬유화되었거나 치마를 씌우기 위해서 장애가 되는 잇몸을 제거하는 경우에 덧 자라난 잇몸의 윗부분을 잘라내는 치료를 말합니다.

잇몸미백

잇몸이 멜라닌에 의해 많이 검은 경우, 이 멜라닌을 제거하며 핑크빛 잇몸으로 만드는 치료입니다.

잇몸 재생수술

잇몸뼈가 많이 없어진 부분에 인공뼈를 이식하거나, 특수한 막 등을 통해거 잇몸뼈가 다시 살아나도록 하는 수술입니다.